
News & Publications

BruxZir Solid Zirconia crown & Bridge restorations easily exceed the ISO 6872 flexural strength specification of 800 MPa for posterior ceramic bridges.
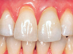
8-10-2015: BruxZir Anterior!
BruxZir Anterior is the latest advancement in the BruxZir Solid Zirconia product line. This highly esthetic restorative material is designed specifically to satisfy the esthetic and functional requirements of the anterior region of the mouth.
By increasing the amount of yttria in the zirconia oxide, it competes esthetically with lithium disilicate, while still being 50 percent stronger than lithium disilicate.
BruxZir Anterior means that solid zirconia can now be your restoration of choice in the anterior just like it is in the posterior.
![]() Implant abutmentsCustom milled titanium and hybrid adbutment |
|---|
![]() BeforeCustom milled zirconium abutment |
![]() AfterCrown over custom abutment |
![]() BeforeTitanium custom milled abutment |
![]() AfterCrown over custom abutment |
9-4-2014: Inclusive custom-milled abutments
The Inclusive custom-milled abutment is a great, affordable choice for your implant patients. They are available in titanium, zirconia, and a zirconia with a titanium base. Each abutment is designed using 3D CAD technology and fabricated using precision 5-axis milling, for natural-looking esthetics and maintaining excellent gingival health.
Inclusive custom implant abutments are compatible with up to 11 of the most popular dental implant systems.

1-1-2012: A BruxZir certified laboratory!
Bruxzir is the #1 prescribed brand of solid zirconia and we are happy to announce that we are now an authorized Bruxzir laboratory!
Dentists have long relied on full-cast gold and porcelain metal crowns and bridges for long-term durability and strength. But with the introduction of Bruxzir solid Zirconia, an equally strong solution is now available.




